UPDATE: Its been published. See – Cambridge University: Brain scans find porn addiction.
Pornography addiction leads to same brain activity as alcoholism or drug abuse, study shows
Cambridge University scientists reveal changes in brain for compulsive porn users which don’t occur in those with no such habit
People who are addicted to pornography show similar brain activity to alcoholics or drug addicts, a study has revealed. MRI scans of test subjects who admitted to compulsive pornography use showed that the reward centres of the brain reacted to seeing explicit material in the same way as an alcoholic’s might on seeing a drinks advert.
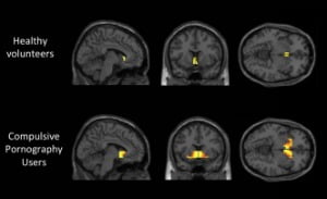
The research by Cambridge University assessed the brain activity of 19 addictive pornography users against a control group of people who said they were not compulsive users.
Lead scientist Dr. Valerie Voon, an honorary consultant neuropsychiatrist, told the Sunday Times: “We found greater activity in an area of the brain called the ventral striatum, which is a reward centre, involved in processing reward, motivation and pleasure.
“When an alcoholic sees an ad for a drink, their brain will light up in a certain way and they will be stimulated in a certain way. We are seeing this same kind of activity in users of pornography.”
The study is yet to be published, but will feature in a Channel 4 documentary called Porn on the Brain, which airs at 10pm on Monday 30 September. [You can try to watch it here – be warned, it contains a few graphic scenes]
The findings, which tally with recent but unconfirmed reports in the US that porn addiction is no different from chemical or substance addiction, will be seen as an argument in favour of David Cameron’s proposals to limit access to some pornographic websites. …….
- See full article – Pornography addiction leads to same brain activity as alcoholism or drug abuse, study shows
See these full length articles on the Channel 4 documentary & Cambridge study:
Commentary:
This study assessed cue-reactivity to porn and compared the results to a control group. It found that the porn addicts’ “reward center” lit up as it would if drug addicts were viewing drug cues. What makes this such a well designed study?
- Cambridge used an MRI (brain scan) to measure real-time activity of the reward “center” (nucleus accumbens).
- The 19 test subjects were all heterosexual males ages 19-34 (homogenous in science-speak).
- The 19 males self-identified as porn addicts and had trouble controlling porn use.
- The study employed a control group of 19 matched males of similar ages.
- Both “porn addicts” and controls were shown the same “cue” stimuli (that is, stimuli like provocative dancing), not actual individualized fetish porn.
- In assessing “sexual desire” Voon found that the porn addicts were not different than controls.
The above study contradicts claims made recently by UCLA sexologist and Kinsey Institute graduate Nicole Prause in her media blitz based on a poorly designed, deceptively analyzed study (July 2013). I am comparing these two studies in order to highlight the fact that these are not “competing studies.” The Cambridge study is superior in design, and consistent in both methodology and findings with dozens of studies on Internet addiction and video-gaming. In contrast, the Prause study makes an unsupported claim that sex addiction (or porn addiction) is really only “high sexual desire.”
Before we compare and contrast the Prause and Cambridge studies, It must be pointed out that the Prause study found higher arousal (EEG readings) when subjects viewed erotic images. Here’s what shocking: Prause characterized her study as not finding arousal to sexual images. From this Psychology Today interview:
Prause: “The reason these findings present a challenge is that it shows their brains did not respond to the images like other addicts to their drug of addiction.”
Reporter: “They were shown various erotic images, and their brain activity monitored.”
Prause: “If you think sexual problems are an addiction, we would have expected to see an enhanced response, maybe, to those sexual images. If you think it’s a problem of impulsivity, we would have expected to see decreased responses to those sexual images. And the fact that we didn’t see any of those relationships suggests that there’s not great support for looking at these problem sexual behaviors as an addiction.”
In truth, the EEG readings (P300) were higher for porn images than for neutral images. Higher EEG readings for porn images is exactly what would be expected for any viewer, and certainly would be expected for someone with an addiction–just as higher EEG readings occur when drug addicts view drug cues (such as a crack addict seeing a picture of a crack pipe). The claim that – “their brains did not respond to the images like other addicts to their drug of addiction” – is simply not true.
Commenting under the Psychology Today interview, psychology professor John A. Johnson said:
My mind still boggles at the Prause claim that her subjects’ brains did not respond to sexual images like drug addicts’ brains respond to their drug, given that she reports higher P300 readings for the sexual images. Just like addicts who show P300 spikes when presented with their drug of choice. How could she draw a conclusion that is the opposite of the actual results? I think it could be do to her preconceptions–what she expected to find.
This is but one example how Prause spun her results. You can read our analysis of her study here: Nothing Correlates With Nothing In SPAN Lab’s New Porn Study (2013). Prause hinted that her study would be replicated by colleagues.
Prause: “If our study is replicated, these findings would represent a major challenge to existing theories of sex “addiction.”
Prause boldly claims that her findings in this single study are all that’s needed to gut the concept of sex or porn addiction. We anticipate that Prause will continue to replicate her suspect findings, but replication of a flawed study simply equals more flawed studies, not more support for her desired outcome.
Comparison of Prause study with the Cambridge study:
Prause’s only legitimate claim was that she found no correlations between questionnaire scores (primarily the Sexual Compulsivity Scale) and EEG readings (P300). We address why she found no correlations here.
1) The Cambridge study used brain scans (fMRI) to assess the activity of the reward center (ventral striatum), where cue reaction occurs in the form of dopamine spikes. This procedure is well established and has been employed in dozens of Internet addiction and other addiction studies.
- In contrast, Prause measured EEGs, which only assess electrical activity of the cerebral cortex, and are open to widely different interpretation. EEGs only show arousal states, not activation of the reward center. In other words, elevated EEG readings (P300) could be “arousal” due to fear or disgust, not sexual excitement.
2) The Cambridge study employed a homogenous group of subjects: young, heterosexual males who self-identified as porn addicts.
- Prause’s subjects were males, females and non-heterosexuals, but her team showed them all standard, possibly uninteresting, male+female porn. You can’t show a gay person straight porn (as she did) and expect meaningful results.
- An experiment assessing cue-induced reactivity for cocaine might get by with a heterogeneous group of males, females and gays, but not a study measuring arousal to porn. This alone explains the lack of correlations. See, for example, Gender Differences in Sexual Arousal and Affective Responses to Erotica. and Neural circuits of disgust induced by sexual stimuli in homosexual and heterosexual men: an fMRI study.
3) The Cambridge study scanned the brains of age and sex-matched healthy, non-addicted controls.
- The Prause study had no control group. To this day, Prause has no idea what normal EEG readings would have been for her subjects, yet she made far-reaching claims all over the press that her work unravels the concept of sex addiction. Unbelievable.